Targeted transperineal prostate biopsy
Professor Ahmed uses the latest image-fusion targeted biopsy technology with a transperineal approach that lowers risk of infection compared to a transrectal biopsy
The prostate gland sits below the bladder and is a sexual organ. It normally secretes fluid that forms part of semen that help normal sperm function during ejaculation. It is very close to nerves that control urine and sexual function, the external sphincter muscle that stops leakage of urine, the bladder where urine is stored, and the rectum (back passage). The urethra (or water passage / pipe) runs through the middle of the prostate.

What is the RAPID pathway?

Professor pioneered the RAPID pathway for men referred by their GPs because of a concern of prostate cancer. It was funded in West London by NHS England and is being rolled out in the NHS across other regions. In the Cromwell Hospital, patients found to have an elevated PSA or abnormal rectal exam of their prostate are fast-tracked like the RAPID pathway into a consultation and MRI with the MRI report on the same day. Patients can find out more here
What does the targeted transperineal prostate biopsy involve?
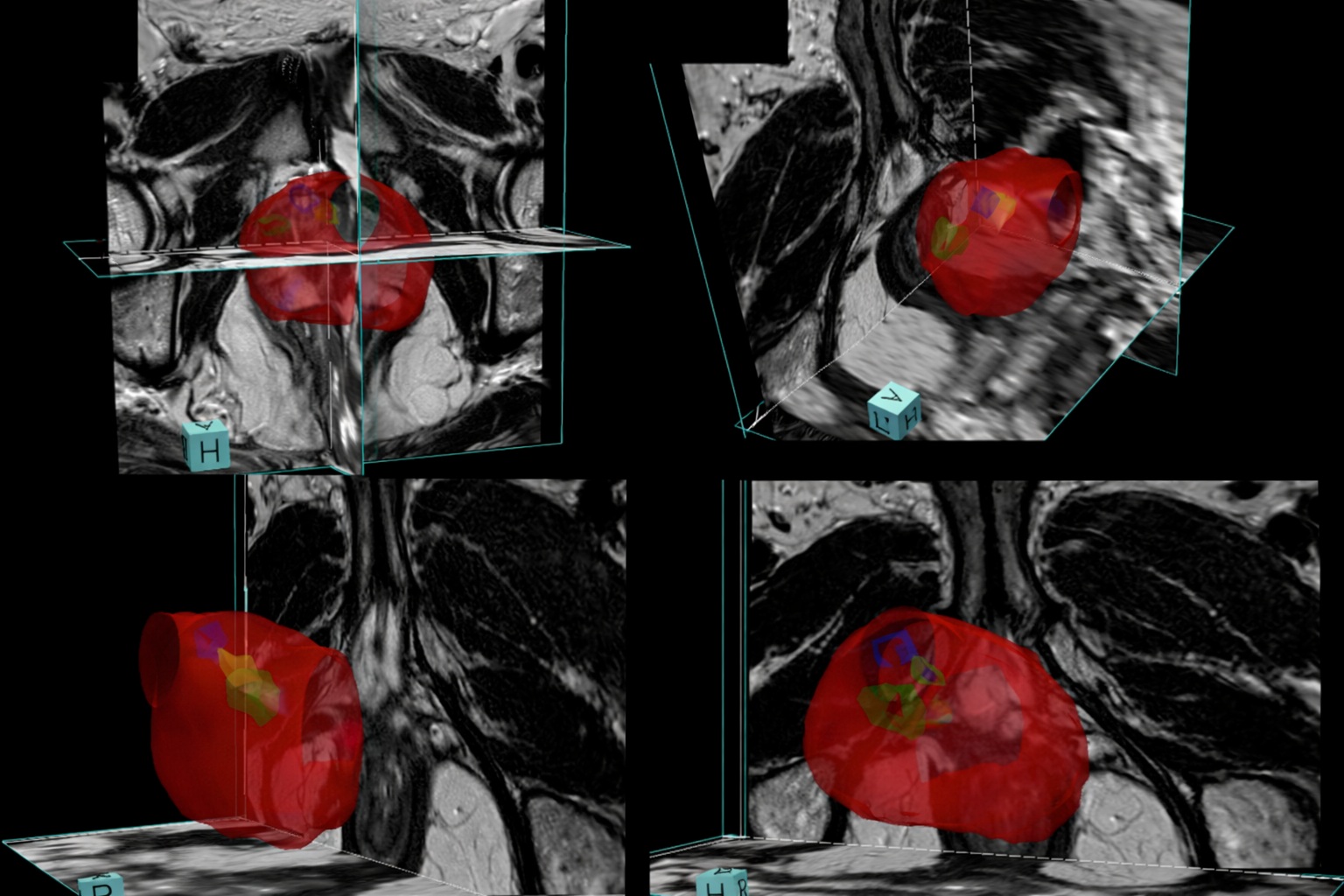
This procedure involves using an ultrasound probe, inserted via the back passage, to scan the prostate. The live ultrasound images of the prostate are “fused” with the multiparametric (“enhanced”) MRI of the prostate taken earlier.

Biopsies are taken through the skin behind the testicles (the perineum) using a special grid. The sampling is targeted to the abnormalities seen on MRI. Additional samples may be taken from the rest of the prostate, even if normal on MRI, depending on the reason for why the biopsies are being taken.

The number of samples taken depends on the size and number of abnormalities, as well as the size of the prostate, usually ranging from 12 to 24 biopsies. Sometimes fewer, and sometimes more than this amount is needed. Professor Ahmed will discuss your specific circumstances with you.
There are several reasons why you might be advised to have this done, including the following:
- The MRI of the prostate suggested areas where there may be cancer;
- You may already have undergone a number of inconclusive transrectal biopsies (i.e. biopsies in which the needles are passed through the back passage);
- You may have had an infection following a previous transrectal biopsy; or
- The position of an identified abnormality within your prostate might make it difficult to access by any other approach.
What are the alternatives to this procedure?
The main alternatives to this procedure are repeat blood PSA test and further multiparametric MRI scans of the prostate to look for progressive changes or to take biopsy samples every 5mm throughout the prostate in a procedure called a mapping biopsy. This would require taking on average 50-60 biopsies in total so we try our best to avoid it.
The main limitation of the MRI-targeted approach is that some men have prostate cancer that is not visible on MRI – we think this risk is about 5-10% when the MRI is done in expert hands.
What should I expect before the procedure?
You will usually be admitted to hospital on the same day as your biopsy. You may receive an appointment for a “pre-assessment” to assess your general fitness if a general anaesthetic is required, to sometimes screen you for MRSA (although this is not done routinely for daycase procedures) and to do some baseline investigations. Once you have been admitted, you will be seen by members of the nursing and medical team.
You will be asked not to eat and drink for six hours before the biopsy if it is under general or spinal anaesthetic. If under sedation you should not eat or drink anything for 4 hours before the procedure.
If you are taking warfarin, you must inform the clinic staff at your pre-assessment visit so that you are advised when to stop it before the procedure. It is usual to stop warfarin for 3 days and then do a blood test (INR) before your biopsy. If you are taking aspirin, you do not need to stop this. If you are taking clopidogrel, you must let the medical staff know who will advise further about whether this needs to be stopped or not.
After checking for allergies, you will normally be given an intravenous injection of antibiotic at the time of your anaesthetic. Your doctor may also ask you to take antibiotic tablets before the biopsy and continue these for a few days afterwards.
When you are admitted to hospital, you will be asked to sign the second part of your operation consent form giving permission for your operation to take place, showing you understand what is to be done and confirming that you want to go ahead. Make sure that you are given the opportunity to discuss any concerns and to ask any questions you may still have before signing the form.
What happens during the procedure?
Your legs will be placed in special supports which allow the surgeon to reach the skin behind your testicles. If you are having sedation, an injection of sedative and painkillers will be given. You will be awake but drowsy. The sedative also acts as an amensiac which means you are unlikely to remember the procedure afterwards in detail. Anaestetic gel will be inserted into the back passage. The surgeon will examine the prostate through the back passage (anus) before inserting the ultrasound probe into the rectum. This probe is as wide as a man’s thumb and approximately 4 inches long. Local anaesthetic is injected into the skin to make it go numb, and then around the prostate. The anaesthetic takes 2 minutes to work and you will often find that the urologist pauses to ensure the anaesthetic is working properly.
In order to take samples (biopsies) of the prostate, a special grid is used so that all areas of the prostate can be included. The biopsy needles are inserted into the prostate through the skin of the perineum, guided by the ultrasound probe. The live ultrasound images of the prostate are fused with the multiparametric MRI scan performed ealier. The abnormalities on MRI are targeted for specific biopsy and additional biopsies may be taken from the rest of the prostate.
After the biopsies have been done, a firm dressing will be applied to the perineum and held in place with a pair of disposable pants. The procedure takes about 20-30 minutes.
What happens immediately after the procedure?
You should:
- let the medical staff know if you are in any discomfort
- ask what you can and cannot do
- feel free to ask any questions or discuss any concerns with the ward staff and members of the surgical team
- make sure that you are clear about what has been done and what happens next
You will go home later the same day provided you are passing urine normally.
Following this, blood in the urine is common for 2 to 3 days, with the occasional blood clot, but this should clear quickly if you increase your fluid intake. Do not overdrink though. You may expect to see blood in the semen for up to 3 months and this usually clears with increased ejaculation.
You will be given antibiotics to take home for a two-day period.
Are there any side-effects?
Most procedures have possible side-effects. But, although the complications listed below are well-recognised, most patients do not suffer any problems.
Common (greater than 1 in 10)
- Blood in your urine for up to 10 days
- Blood in your semen for up to 3 months; this is harmless and poses no risk to you or any sexual partners
- Bruising in your perineal area
- Sensation of discomfort due to bruising
Occasional (between 1 in 10 and 1 in 50)
- Failure to detect a significant cancer of the prostate
- The procedure may need to be repeated if the biopsies are inconclusive, or your PSA level rises further, or if futher MRI scans show more abnormalities
- Inability to pass urine (retention of urine) (1 in 100)
Rare
- Bleeding needing hospitalisation (1 in 300)
- Blood infection (septicaemia) needing hospitalisation (1 in 500)
Hospital-acquired infection
- Colonisation with MRSA (0.9% – 1% in 110)
- MRSA bloodstream infection (0.02% – 1 in 5000)
- Clostridium difficile bowel infection (0.01% – 1 in 10,000)
The rates for hospital-acquired infection may be greater in high-risk patients, for example those patients
- with long-term drainage tubes
- who have had their bladder removed due to cancer
- who have had a long stay in hospital
- who have been admitted to hospital many times
- who travel abroad frequently
- who work in hospital settings
What should I expect when I get home?
When you are discharged from hospital, you should:
- be given advice about your recovery at home
- ask when you can begin normal activities again, such as work, exercise, driving, housework and sex
- ask for a contact number if you have any concerns once you return home
- ask when your follow-up will be and who will do this
It is important that you:
- maintain regular bowel function
- avoid physically-demanding activities
- complete your three-day course of antibiotics
Any discomfort can usually be relieved by simple painkillers.
What else should I look out for?
If you experience:
- a fever, shivering or develop symptoms of cystitis (frequency and burning on passing urine), you should contact your consultant, consultant’s secretary or the hospital ward. If it’s not possible to make contact this way, please go to A/E or contact your GP for an emergency appointment the same day.
- a lot of bleeding in the urine, especially with clots of blood, you should contact your consultant, consultant’s secretary or the hospital ward. If it’s not possible to make contact this way, please go to A/E or contact your GP for an emergency appointment.
- a fever outside your surgery opening hours, you must telephone the ward you were on so that a doctor can assess you. If it’s not possible to make contact this way, please go to A/E or contact your emergency GP
Are there any other important points?
It will be at least 7-8 working days before the biopsy results on the tissue removed are available from the pathology laboratories. All biopsies are discussed in detail at a multi-disciplinary meeting before any further treatment decisions are made. You and your GP will be informed of the results after this discussion. We sometimes need to order additional tests as a result of our discussions and, as a result, you may receive appointments for a bone scan or whole body MRI scan afterward.
Driving after the biopsy
It is your responsibility to make sure you are fit to drive following your procedure. You do not normally need to tell the DVLA that you have had a biopsy, unless you have a medical condition that will last for longer than three months after any surgery and may affect your ability to drive. You should, however, check with your insurance company before returning to driving. Your doctors will be happy to give you advice on this.
Targeted transperineal prostate biopsy for prostate cancer is available in the NHS and privately.
For NHS referrals, Professor Ahmed works at Imperial College Healthcare NHS Trust. You are entitled to ask for a referral for an opinion about whether you might be suitable on the NHS. Your GP can make the referral through the choose and book electronic referral system and choose the ‘2ww – Prostate’ folder. You consultant team can also make the referral directly to Imperial using the email: imperial.prostate@nhs.net or letter (addressed to Professor Ahmed at Charing Cross Hospital, Fulham Palace Road, London W6 8RF).
For private referrals, Professor Ahmed works at Cromwell Hospital and Imperial Private Healthcare. Self-pay patients do not need a referral to consult Professor Ahmed and there are competitive self-pay packages offered. Insured patients should check with their insurer.
Please use the online booking portal or email the team on london.prostate@gmail.com
Further information
NHS referrals
Professor Ahmed works at Imperial College Healthcare NHS Trust. You are entitled to ask for a referral for an opinion about whether you might be suitable on the NHS.
Your GP can make the referral through the choose and book electronic referral system and choose the 2ww-Prostate folder. Your consultant team can also make the referral directly to Imperial using the email address:
imperial.prostate@nhs.net.
Alternatively a letter can be sent to:
Professor AhmedCharing Cross Hospital
Fulham Palace Road
London, W6 8RF
Private referrals
For private referrals, Professor Ahmed works at Cromwell Hospital and Imperial Private Healthcare. Self-pay patients do not need a referral to consult Professor Ahmed and there are competitive self-pay packages offered. Insured patients should check with their insurer. Please use the online booking portal or email the team on london.prostate@gmail.com.
Related treatments
-
HIFU for prostate cancer treatment
A minimally invasive treatment that can be used to ablate or destroy areas of tissue within the prostate gland with a low risk of side-effects.
-
Active surveillance for prostate cancer
Active surveillance is process of monitoring lower risk prostate cancer which is unlikely to progress if left without any treatment.